Invisalign Cost Banner

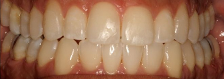
Invisalign® Before & After

Incredible results and inspiring journeys; see some of our patients' before and after photos next time you visit our practice.

Before Treatment

Before

After Treatment

After

Before Treatment

Before

After Treatment

After

Before Treatment

Before

After Treatment

After

Before Treatment

Before

After Treatment

After

Before Treatment

Before

After Treatment

After

Before Treatment

Before

After Treatment

After

Before Treatment

Before

After Treatment

After

Before Treatment

Before

After Treatment

After

Before Treatment

Before

After Treatment

After

Before Treatment

Before

After Treatment

After

Before Treatment

Before

After Treatment

After

Before Treatment

Before

After Treatment

After

Before Treatment

Before

After Treatment

After

Before Treatment

Before

After Treatment

After

Before Treatment

Before

After Treatment

After

Before Treatment

Before

After Treatment

After

Privacy Policy | Accessibility Statement | © Copyright 2026. All Right Reserved.2026 @ Noorani Orthodontics | Website Design Company Algosoft